埋伏歯って何?
今日は「埋伏歯の抜歯」の症例を見ていきます。
まず、「埋伏歯」って何?と思っている方にご説明していこうと思います。歯茎や骨に埋まっている歯のことです。また、歯の一部分だけ歯茎から出ている歯で完全に生えていないものも埋伏歯の1つです。
現代の人間は食べ物や環境の変化により顎が退化してきています。それにより歯が生えるスペースがなく、顎の中に埋まったままになったり、横向きの状態でとどまっていたりします。また、小さい頃に乳歯が虫歯になり永久歯の生える前に抜いてしまったりすると歯がスペースがなくなります。
悪い症状を起こす!
「埋伏歯」は様々な悪い症状を起こすことがあります。
まず、「埋伏歯」自体の虫歯。単純に埋まっているため歯磨きが非常に難しいです。歯磨きが出来ないと虫歯になるのは当然、その隣在歯である歯も虫歯になることがあります。
次に「埋伏歯」の周りの歯ぐきが腫れたり、痛みが出たりすることがあります。
今回は「埋伏歯」の中でも左右の歯に挟まれていて出てこれず、また埋伏歯の根っこが曲がっている症例の抜歯を見ていきます。
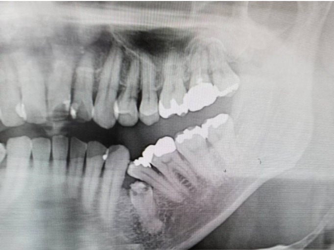
レントゲンでの埋伏歯


左下の「埋伏歯」の症例です。
このような歯は歯茎を切開し、隠れた歯と骨を見えるようにしていきます。
この状態のままだと「埋伏歯」は出てこれないので、歯を切断して小さくした上で抜いていきます。
イメージとしてはこのような感じです(赤線)。

その後、歯冠と呼ばれる頭の部分を取り出し、その後、歯根という根っこの部分を抜いていきます。
しかし、この症例の場合は根っこが更に曲がっていて(CT撮影)頭が抜けたからと言って直ぐには出てこれません。従って根っこも更に半分から3分割して抜いていきます。


このケースでは痛みや腫れはほとんど出ませんでした。
(しかし、一般的には埋伏歯の抜歯後は痛みや腫れが強く出てきます。)
抜歯は術前の診断、治療計画、処置により余計な侵襲がなく、抜歯できます。
抜歯で歯医者をお探しの方、ぜひ一度当院にいらしてください。
スタッフ一同お待ちしています。








